
طراحی لبخند دیجیتال + 5 مزیت آن

لمینت دندان بدون تراش
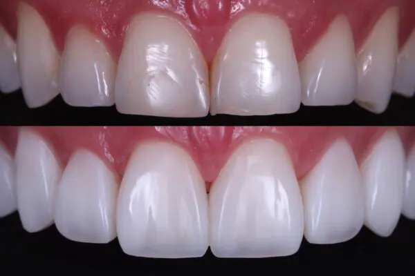
کامپوزیت ونیر دندان یک روش برای زیبایی دندان است که با استفاده از یک لایه نازک به اسم ونیر، سفیدی و درخشندگی را به دندان شما بازمیگرداند. انتخاب این روش نکاتی دارد که بهتر است قبل از انجام آن بدانید. بنابراین با ما در وب سایت دکتر پرهام یوسفی زاده همراه باشید تا تمامی اطلاعات لازم درباره این روکش دندان را به شما بدهیم.
کاربرد استفاده از کامپوزیت ونیر

کامپوزیت ونیر به دلیل انعطاف پذیری بالا و قابلیت فرم پذیری، کاربردهای متعددی دارد. از جمله مهمترین موارد استفاده آن میتوان به رفع لکههای زرد و قهوهای، سفید کردن دندانها، اصلاح فاصله بین دندانها، ترمیم دندانهای شکسته، لبپَر شده یا ترک خورده اشاره کرد. همچنین در برخی موارد، میتوان با کمک کامپوزیت ظاهر دندانهای نامرتب را تا حدی اصلاح کرد. بنابراین میتوان گفت کاربرد این روکش دندان شامل موارد زیر است:
- لکه زرد ر.وی دندان را از بین می برد
- از بین بردن فاصله بین دندان
- مرتبی و از بین بردن کجی دندان
- اصلاح ترک یا لب پر شدن دندان
- ترمیم دندان شکسته
- اصلاح دندانهای نامرتب
- سفید کردن دندانها
- اصلاح و مرتب کردن دندانهای کوچک و بزرگ و ….
مزایای کامپوزیت ونیر
یکی از بارزترین مزایای ونیر کامپوزیت عدم نیاز به تراش مینای دندان است. در واقع می توان آن را نوعی لمینت بدون تراش دندان معرفی کرد. این ویژگی باعث میشود دندانها تا حد زیادی سالم باقی بمانند. همچنین کامپوزیت دندان نسبت به لمینت سرامیکی از هزینه ی کمتری برخوردار است و در بسیاری از موارد، در یک جلسه قابل انجام است. نصب آسان، ظاهر طبیعی، ترمیم سریع در صورت آسیب، و انعطاف پذیری بالا از دیگر مزایای این روش هستند. این ویژگیها باعث شده است کامپوزیت انتخابی اقتصادی و کاربردی برای زیبایی دندانها باشد.
عوارض کامپوزیت ونیر
هرچند کامپوزیت دندان مزایای زیادی دارد، اما نمیتوان از عوارض آن چشم پوشی کرد. مهمترین مورد، حساسیت دندانها به گرما و سرما پس از درمان است که البته اغلب موقتی است. از سوی دیگر، مواد کامپوزیتی نسبت به پرسلن مقاومت رنگی پایینتری دارند و ممکن است با گذر زمان و مصرف برخی خوراکیها تغییر رنگ دهند. همچنین نیاز به رعایت دقیق بهداشت دهان و دندان دارند و طول عمر آنها معمولاً کوتاهتر از لمینت سرامیکی است.
نحوه قرار دادن ونیر کامپوزیت دندان
نصب ونیر کامپوزیت با یک جلسه مشاوره شروع میشود. در این مرحله دندانپزشک شرایط دهان و دندان را بررسی کرده و در صورت وجود مشکلاتی مانند التهاب لثه یا پوسیدگی، ابتدا آن را برطرف میکند. سپس رنگ مناسب با رنگ سایر دندانها انتخاب میشود. بعد از آن، سطح دندانها تمیز و آماده میشود و مادهی کامپوزیتی به دقت شکل داده و روی دندانها قرار میگیرد. در پایان، اگر جایی از دندان مشکل داشته باشد و یا صاف نباشد از بین، برطرف میگردد.
10 برند برتر ونیر کامپوزیت در سال 1404
- Bisco
- DMP Dental
- Ivoclar Vivaden
- Tokuyama Dental America
- SDI
- SAREMCO
- Cosmedent
- IPS
- kuraray
- Geanial
قیمت کامپوزیت ونیر دندان چقدر است؟
قیمت ونیر کامپوزیت ممکن است بسته به عوامل مختلفی متغیر باشد. عواملی مانند کیفیت مواد مصرفی، تخصص و تجربه دندانپزشک، تعداد دندانهایی که نیاز به ونیر دارند، نوع برند کامپوزیت مورد استفاده، و محل جغرافیایی مطب همگی در تعیین هزینه نهایی تأثیرگذارند. به طور مقال قیمت ونیر در دندانپزشکی فرشته ممکن است با منطقه دیگری از تهران متفاوت باشد. هرچند که به طور کلی، این روش در مقایسه با لمینتهای سرامیکی مقرونبهصرفهتر است، اما بهتر است بیماران پیش از اقدام، مشاورهای تخصصی دریافت کنند تا قیمت دقیقتری بر اساس شرایط آنها اعلام شود.
طول عمر ونیر کامپوزیت
طول عمر ونیر کامپوزیت معمولاً بین ۷ تا ۱۰ سال است، اما در صورتی که فرد به بهداشت دهان و دندان خود اهمیت دهد و عادت، میتوان عمر آن را به بیش از ۱۰ سال افزایش داد. استفاده از نخ دندان بعد از هر وعده غذایی ، مسواک زدن ، و مراجعه منظم به دندانپزشک برای چکاپ میتواند نقش مهمی در دوام بیشترو افزایش طول عمر کامپوزیت داشته باشد.
انواع کامپوزیت ونیر
هرکدام از این مدلها کاربرد خاص خود را دارند و انتخاب آنها بسته به شرایط فردی بیمار و نظر دندانپزشک صورت میگیرد.از جمله انواع این نوع روکش دندان میتوان به موارد زیر اشاره کرد.
- ونیر پارسیل (نصب روی بخشی از دندان)
- فول ونیر (پوشش کامل دندان)
- کامپوزیت دندانهای جلو و پشتی
- انواع یونیورسال و مدلهای سلفکیور یا لایتکیور (پخت با نور یا بدون نور).
چه کسانی نباید از ونیر کامپوزیت استفاده کنند؟
افرادی که دچار عادت دندان قروچه هستند یا دندانهایی به شدت نامرتب دارند، ممکن است گزینه مناسبی برای انجام ونیر کامپوزیت نباشند. به طور اگر هر یک از شرایط زیر را دارید استفاده از این روکش برای شما ممنوع استک
- دندان قروچه شبانه
- عدم رعایت بهداشت دهان و دندان
- نامرتبی زیاد دندان و فک
- بیماری های دهان و دندان شدید
- مشکلات لثهای وخیم
- لقی دندان
- آسیب دیدگی دندان
- وجود برجستگی زیاد بر روی دندان
بهترین نوع ونیر کامپوزیت

برای انتخاب بهترین ونیر کامپوزیت، لازم است به فاکتورهایی همچون کیفیت برند، تطابق رنگ با دندانهای طبیعی، میزان دوام، هزینه درمان، و تناسب فرم نهایی با چهره توجه کرد. مشاوره با یک دندانپزشک مجرب در زمینه زیبایی، نقش مهمی در انتخاب رضایتبخش خواهد داشت.
سوالات متداول
تفاوت ونیر کامپوزیت با ونیر پرسلن چیست؟
ونیر کامپوزیت در مقایسه با ونیر پرسلن روشی سریعتر، کمهزینهتر و انعطافپذیرتر است. در این روش، کامپوزیت مستقیماً در کلینیک توسط دندانپزشک فرمدهی میشود، در حالی که ونیر پرسلن نیاز به قالبگیری، ارسال به لابراتوار و ساخت در مراحل مختلف دارد. یکی از مزایای اصلی کامپوزیت، قابلیت ترمیم آسان آن در صورت آسیبدیدگی است؛ در حالی که آسیب به ونیر پرسلن معمولاً نیازمند تراش دندان و تعویض کامل آن است که ممکن است به بافت سالم دندان نیز آسیب وارد کند.
کدام روش بهتر است: لمینت، بلیچینگ یا ونیر کامپوزیت؟
پاسخ به این سوال وابسته به شرایط فردی و بودجه شماست. بلیچینگ ارزانترین گزینه بوده و برای سفید کردن دندانها در کوتاه مدت مناسب است، اما ماندگاری کمتری دارد (حدود ۶ ماه تا ۲ سال). ونیر کامپوزیت عمر بیشتری دارد و نه تنها رنگ بلکه شکل و فرم دندانها را نیز اصلاح میکند. لمینت (ونیر پرسلن) دوام بالاتری (تا ۱۵ یا حتی ۲۰ سال) دارد، اما هزینه آن نیز بالاتر است. برای انتخاب دقیقتر، مشاوره با دندانپزشک توصیه میشود.
آیا ونیر کامپوزیت باعث ایجاد بوی بد دهان میشود؟
به طور کلی، ونیر کامپوزیت به تنهایی باعث بوی بد دهان نمیشود. اما اگر این ونیرها به درستی روی دندانها نصب نشوند و بین دندان و کامپوزیت فاصله ایجاد شود، ممکن است با گذشت زمان مواد غذایی و باکتریها در این فضا جمع شوند و منجر به پوسیدگی و ایجاد بوی ناخوشایند شوند. همچنین، رعایت بهداشت دهان و دندان پس از انجام این درمان بسیار ضروری است تا از هرگونه تجمع پلاک و ایجاد بو جلوگیری شود.
مزایای استفاده از ونیر کامپوزیت چیست؟
ونیر کامپوزیت مزایای متعددی دارد؛ از جمله نصب سریع در یک جلسه، عدم نیاز به تراشیدن دندان طبیعی، هزینه کمتر نسبت به ونیر پرسلن، ظاهر طبیعی، قابلیت بازسازی و ترمیم آسان، و امکان اصلاح فرم، رنگ و فاصله دندانها. این روش برای افرادی که به دنبال اصلاح طرح لبخند در مدت زمان کوتاه هستند، گزینهای بسیار مناسب به شمار میرود.




